Visit 7 North Dental Today Or Call: 602-230-0811
Wisdom Teeth and Gum Disease: A Dangerous Connection

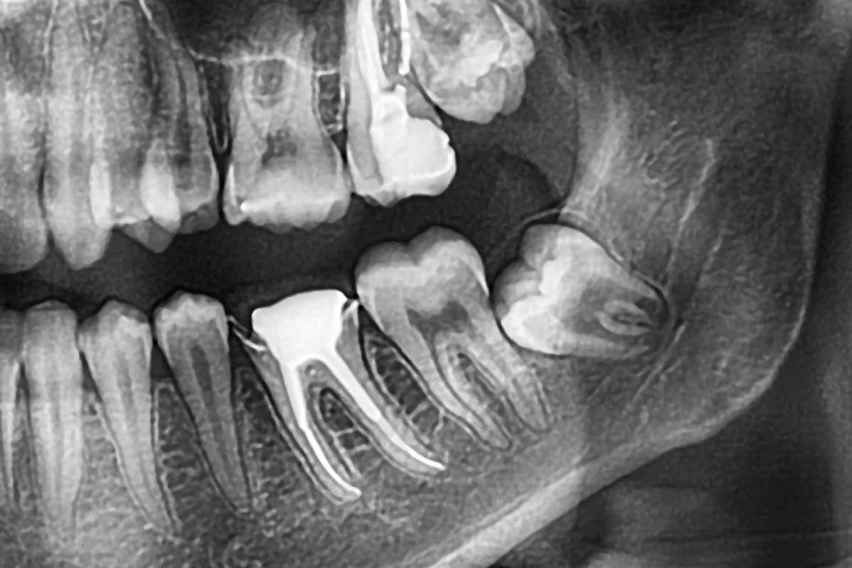
Wisdom teeth, or third molars, often emerge at the back of the mouth during one’s late teens or early twenties. While they might not cause immediate problems for everyone, they can significantly impact one’s oral health, especially when it comes to gum disease.
Understanding Gum Disease
Gum or periodontal disease is an infection of the tissues that support your teeth. It’s caused by a buildup of plaque and tartar, which can lead to inflammation and bone loss.
The Role of Wisdom Teeth in Gum Disease
The unique positioning of wisdom teeth makes them difficult to clean.
Plaque Buildup and Infection
Food particles and bacteria can easily get trapped around these teeth, leading to plaque buildup. This creates a breeding ground for harmful bacteria, increasing the likelihood of gum inflammation.
Impacted Wisdom Teeth and Oral Hygiene
Moreover, impacted wisdom teeth can push against other teeth, creating gaps and spaces that make it challenging to maintain proper oral hygiene.
Prevention and Treatment
If you have wisdom teeth, it’s crucial to maintain excellent oral hygiene. Regular visits to a dentist are also important as they can provide professional cleaning and assess your oral health.
Daily Oral Care
Brush and floss regularly, paying close attention to the area around your wisdom teeth. Using a mouthwash can also help reduce bacteria.
Regular Dental Checkups
Your Key to Reassurance a dentist in Phoenix, AZ, can assess your oral health and determine if your wisdom teeth contribute to gum disease. Regular dental checkups and cleanings are not just essential, they are your reassurance that any issues will be detected early and treated promptly.
Treatment Options
If gum disease is diagnosed, your dentist will recommend appropriate treatment options. Scaling and root planing is a deep cleaning procedure that removes plaque and tartar from the roots of your teeth. In some cases, if your wisdom teeth are contributing to the problem, your dentist might recommend their removal.
By understanding the connection between wisdom teeth and gum disease, you can take proactive steps to protect your oral health. Regular dental care, proper oral hygiene, and timely intervention can help prevent serious complications.

Frequently Asked Questions
A: While it’s challenging to prevent gum disease with wisdom teeth completely, maintaining excellent oral hygiene and regular dental checkups can significantly reduce your risk.
A: The decision to remove wisdom teeth depends on various factors, including their position, potential for problems, and overall oral health. With their expertise, your dentist can recommend the best course of action and guide you toward the right decision.
A: Signs of gum disease, which you should be knowledgeable about, include bleeding gums, bad breath, swollen gums, red or tender gums, and loose teeth.
A: To monitor your oral health, it’s recommended that you visit your dentist for a professional cleaning and checkup every six months.
